ជំងឺខ្សោយបេះដូង
ផ្នែកខាងស្តាំនៃបេះដូងច្របាច់ឈាមបញ្ជូនទៅកាន់សួត (pulmonary circulation) ហើយផ្នែកខាងឆេ្វងនៃបេះដូងច្របាច់ឈាមបញ្ជូនទៅកាន់ផ្នែកផ្សេងៗទៀតនៃរាងកាយ (systemic circulation)។ ប្រសិនបើផ្នែកណាមួយ រឺផ្នែកទាំងសងខាងនៃបេះដូងដំនើរការច្របាច់ឈាមមិនបានល្អយើងហៅថា ជំងឺខ្សោយបេះដូង (heart failure)។
ជំងឺខ្សោយបេះដូងផ្នែកខាងឆ្វេង
ប្រសិនបើផ្នែកខាងឆ្វេងនៃបេះដូងមិនអាចច្របាច់ឈាមបានគ្រប់គ្រាន់ ដើម្បីបញ្ជូនទៅកាន់សរីរាង្គទេនោះ វានឹងបង្កអោយឈាមប្រមូលផ្តុំក្នុងសរសៃវ៉ែន និងសរសៃបណ្តូរឧស្ម័ននៃ pulmonary circulation។ ការកើនឡើងបរិមាណឈាមក្នុងសរសៃឈាមទាំងនោះ ធ្វើអោយមានការកើនឡើងនូវសម្ពាធក្នុងសរសៃឈាម។ នៅពេលដែលកើនឡើងនូវសម្ពាធក្នុងសរសៃឈាមទាំងនោះ គឺវាបណ្តាលអោយសារធាតុរាវដែលនៅក្នុងឈាមត្រូវបានបង្ខំអោយចេញក្រៅសរសៃ បណ្តូរឧស្ម័នតូចៗ ដែលព័ន្ធនៅលើថង់ខ្យល់តូចៗក្នុងសួត ហើយទឹកក៏ចូលទៅក្នុងថង់ខ្យល់តូចៗក្នុងសួតទាំងនោះដែលយើងហៅថា ជំងឺហើមសួត (pulmonary edema)។

ទឹកដែលបានចូលទៅក្នុងថង់ខ្យល់តូចៗក្នុងសួតទាំងនោះ គឺវាបានបន្ថយកន្លែងរបស់ ខ្យល់។ ការថយចុះនូវកន្លែងរបស់ខ្យល់ គឺវាបណ្តាលអោយមានការថយចុះនូវការផ្លាស់ប្តូរឧស្ម័នរវាងថង់ខ្យល់តូចៗក្នុងសួត និងសរសៃបណ្តូរឧស្ម័ន។ ហេតុដូចេ្នះហើយទើបអ្នកជំងឺមានសញ្ញាហត់ (short of breath)។ អ្នកជំងឺក៏អាចស្តែងចេញនូវរោគសញ្ញាដូចជាដកដង្ហើមញាប់ (tachypnea) ហត់ (dyspnea) ប្រឹងក្នុងការដកដង្ហើម (ដោយប្រើសាច់ដុំជំនួយ) និងមានការថយចុះនូវកម្រិត អុកស៊ីសែននៅក្នុងឈាម (decreased oxygen saturation)។
មូលហេតុញឹកញាប់បំផុតដែលធ្វើអោយខ្សោយបេះដូងផ្នែកខាងឆ្វេងគឺ ជំងឺសរសៃឈាមបេះដូង និងជំងឺលើសសម្ពាធឈាម។ មូលហេតុដ៏ទៃទៀតមានដូចជា ជំងឺបញ្ហាចង្វាក់បេះដូង (cardiac arrhythmias) ជំងឺប្រឹសបេះដូង (valve disease) ជំងឺរលាកសាច់ដុំបេះដូង (myocarditis) ជំងឺទឹកក្នុងស្រោមបេះដូង (pericardial effusion) កង្វះគ្រាប់ឈាមក្រហម (anemia) និងជំងឺលើសបរិមាណទឹកក្នុងរាងកាយ។ ខ្សោយបេះដូងផ្នែកខាងឆ្វេងជាធម្មតាវិវឌ្ឍន៏ទៅជាខ្សោយបេះដូងផ្នែកខាងស្តាំផងដែរ។
ជំងឺខ្សោយបេះដូងផ្នែកខាងស្តាំ
ប្រសិនបើផ្នែកខាងស្តាំនៃបេះដូងមិនអាចច្របាច់ឈាមបានគ្រប់គ្រាន់ ដើម្បីបញ្ជូនទៅកាន់សួតទេនោះ វានឹងបង្កអោយឈាមប្រមូលផ្តុំក្នុងសរសៃវ៉ែននិងសរសៃបណ្តូរឧស្ម័ននៃ systemic circulation។ ការកើនឡើងនូវបរិមាណឈាមក្នុងសរសៃឈាមទាំងនោះធ្វើអោយមានការកើនឡើងនូវសម្ពាធក្នុងសរសៃឈាម។ នៅពេលដែលកើនឡើងនូវសម្ពាធក្នុងសរសៃឈាមទាំងនោះ គឺវាបណ្តាលអោយសារធាតុរាវដែលនៅក្នុងឈាមត្រូវបានបង្ខំចេញក្រៅសរសៃបណ្តូរឧស្ម័នតូចៗ រួចចូលទៅក្នុងជាលិកានិងសរីរាង្គផ្សេងៗដែលបង្កអោយមានបញ្ហាដូចជាៈ
- ការហើមនៅចុងអវៈយវៈផ្នែកខាងក្រោម (peripheral edema)
- ថ្លើមរីកធំ (hepatomegaly) អណ្តើករីកធំ (spleenomegaly)
- ទាចទឹក (ascites)
- ទឹកនៅចន្លោះស្រោមសួត (pleural effusion)
- ប៉ោងសរសៃឈាមវែននៅ ក (distended jugular veins)

ខ្សោយបេះដូងផ្នែកខាងស្តាំ ភាគច្រើនជាផលវិបាកមកពីខ្សោយបេះដូងផ្នែកខាងឆ្វេង។ អ្នកជំងឺទាំងនេះស្តែងចេញនូវសញ្ញាខ្សោយបេះដូងខាងស្តាំផង និងខាងឆ្វេងផង។ ភាគតិចណាស់ដែលខ្សោយបេះដូងខាងស្តាំកើតឡើងតែឯង។ មូលហេតុមួយចំនួនដែលបណ្តាលឲ្យមានជំងឺខ្សោយបេះដូងផ្នែកខាងស្តាំតែឯងរួមមាន ជំងឺសួតធ្ងន់ធ្ងរ (severe pulmonary disease) ជំងឺស្លាប់សាច់ដុំបេះដូងផ្នែកខាងស្តាំ (right sided myocardial infarction) និងជំងឺប្រឹសបេះដូងផ្នែកខាងស្តាំ (right sided valve disease)។
ការស្វែងរកមូលហេតុ
ការពិនិត្យរាងកាយអ្នកជំងឺ គឺចាំបាច់រួមបញ្ចូលទាំងសញ្ញាតំអូញដែលបានបញ្ជាក់រួចមកហើយមានដូចជាការហើមនៅចុងអវៈយវៈផ្នែកខាងក្រោម (peripheral edema) និងប៉ោងសរសៃ វ៉ែននៅ ក (distented jugular veins)។
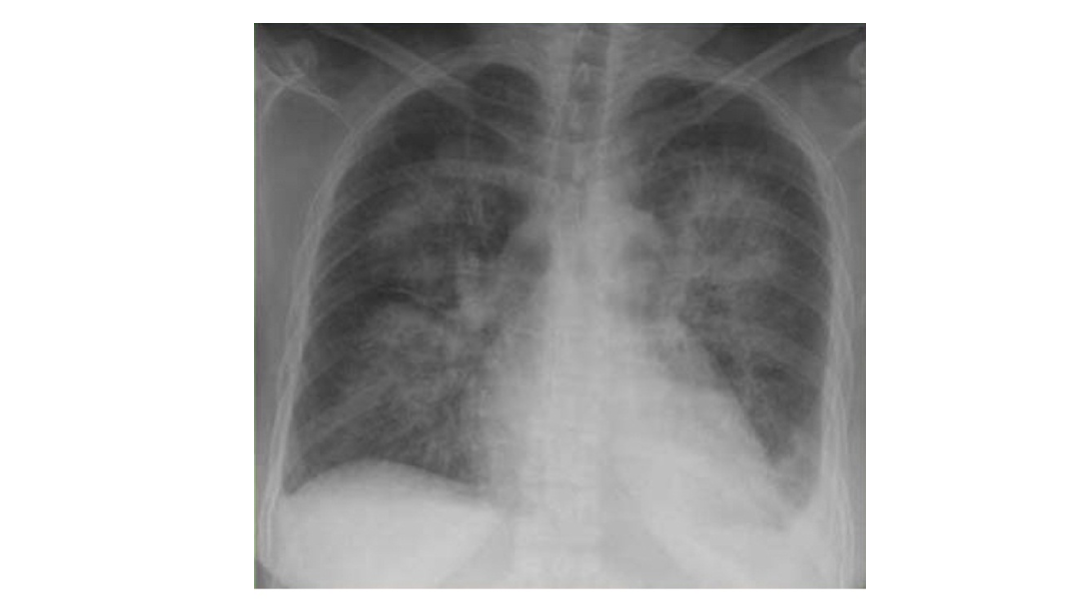
ការថតទ្រូងប្រើដោយកាំរស្មីអ៊ិច (chest x-ray) គួរតែប្រព្រឹត្តទៅបានដើម្បីស្វែងរកភ័ស្តុតាង នៃជំងឺហើមសួត (pulmonary edema) និងជំងឺស្ទះសរសៃឈាមនៅក្នុងសួត (pulmonary vascular congestion)។

ទំហំរបស់បេះដូងអាចដឹងបានតាមរយៈការថតទ្រូងប្រើដោយកាំរស្មីអ៊ិច (chest x-ray)។ នៅក្នុងជំងឺខ្សោយបេះដូងរាំរ៉ៃសាច់ដុំបេះដូងជារើយៗ តែងតែកើននូវទំហំក្នុងគោលបំណងដើម្បីច្របាច់ឈាមអោយបានល្អគ្រប់គ្រាន់។ ទោះយ៉ាងណាក៏ដោយទំហំរបស់បេះដូងធំធ្វើអោយជំងឺខ្សោយបេះដូងកាន់តែធ្ងន់ធ្ងរថែមទៀត។ ការដែលបេះដូងរីកធំហៅថា cardiomegaly។
ការស្តាប់ (auscultation) សួត ត្រូវបានអនុវត្តដើម្បីស្វែងរកភ័ស្តុតាងនៃជំងឺហើមសួត (pulmonary edema)។ ជំងឺហើមសួត បណ្តាលអោយមានសម្លេង crackles (សំលេងប្រេះៗដូចអំបិលផ្ទុះ)។ សម្លេងក្រេកខលនេះកើតឡើងពីទឹកបោកផ្ទប់ជាមួយផ្នែកខាងក្នុងនៃថង់ខ្យល់តូចៗក្នុងសួតខណះដែលខ្យល់ក៏ចូលដែរ។ ហេតុដូចេ្នះហើយសម្លេងក្រេកខលធម្មតាស្តាប់ឮនៅពេលដែលអ្នកជំងឺដកដង្ហើមចូល។ ដោយសារកំលាំងទំនាញផែនដីសម្លេងក្រេកខលស្តាប់លឺនៅផ្នែកខាងក្រោមរបស់សួតនៅពេលអ្នកជំងឺអង្គុយរឺឈរ។
ការស្តាប់ (auscultation) បេះដូង អាចត្រូវបានគេអនុវត្តដើម្បីពិនិត្យរកមើលនូវសម្លេងបន្ថែមរបស់បេះដូង (ដែលគេហៅថាសម្លេងទី ៣) ប៉ុន្តែវាមិនមានគ្រប់ករណីទាំងអស់នោះទេ។
ជាធម្មតាការពិនិត្យឈាមគេអាចរកមើលចំនួនគ្រាប់ឈាមក្រហម (កង្វះគ្រាប់ឈាមក្រហម អាចជាមូលហេតុបណ្តាលអោយខ្សោយបេះដូង រឺធ្វើអោយជំងឺខ្សោយបេះដូងកាន់តែធ្ងន់ធ្ងរ) និងកម្រិតអេឡិចត្រូលីត (ជាពិសេសសូដ្យូម)។ ការធ្វើតេស្តដើម្បីមើលមុខងារតំរ៉ងនោមនិងថ្លើមក៏មានសារៈសំខាន់ផងដែរ។
ការវិភាគគំនូសចលនាបេះដូងដោយប្រើចរន្តអគ្គីសនី (electrocardiogram រឺ ECG) គួរតែត្រូវបានធ្វើដើម្បីរកមើលជំងឺបញ្ហាចង្វាក់បេះដូង (cardiac arrhythmias) និងជំងឺស្លាប់សាច់ដុំបេះដូង (myocardial infarction) ដែលជំងឺទាំង ២ នេះមានសក្តានុពលក្នុងការបង្កអោយមានជំងឺខ្សោយ បេះដូង (heart failure)។
ការវិភាគគំនូសចលនាបេះដូងដោយប្រើរលកសម្លេងបេះដូង (echocardiogram រឺ ECHO) អាចត្រូវបានធ្វើដើម្បីរកមើលទំហំថតរបស់បេះដូង។ ការពិនិត្យដោយ ECHO បេះដូង អាចអោយយើងគណនាដឹងពីសមត្ថភាពរបស់បេះដូងក្នុងការច្របាច់ឈាមចេញដែលហៅថា ejection fraction។ ការពិនិត្យដោយ ECHO បេះដូងក៏អាចកំណត់ពីភាពមិនប្រក្រតីរបស់ប្រឹសបេះដូង ដែលមានសក្តានុភាពក្នុងការបង្កជំងឺខ្សោយបេះដូងផងដែរ។
ការព្យាបាល
មូលហេតុដែលមានត្រូវតែកំណត់អោយបាននិងព្យាបាល ឧទាហរណ៏ ជំងឺសរសៃឈាមបេះដូង (coronary artery disease) ជំងឺលើសសម្ពាធឈាម (hypertension) ឬជំងឺបញ្ហាចង្វាក់ បេះដូង (cardiac arrhythmias)។
- ផ្តល់អុកស៊ីសែនចំពោះអ្នកជំងឺដែលហត់។
- ថ្នាំបញ្ចុះទឹកនោម (ដូចជា Furosemide) ធម្មតាត្រូវការប្រើប្រាស់សម្រាប់បង្កើនអោយ
អ្នកជំងឺនោមបានច្រើន ហេតុដូចេ្នះហើយទើបបន្ថយបរិមាណឈាមរត់នៅក្នុងសរសៃឈាម។ ការដែលបន្ថយនូវបរិមាណឈាមរត់ក្នុងសរសៃឈាម គឺមានន័យថាបន្ថយសម្ពាធក្នុងសរសៃឈាម ដែលអាចធ្វើអោយបេះដូងច្របាច់ឈាមកាន់តែមានប្រសិទ្ធភាព។
ថ្នាំដទៃទៀត ដែលអាចត្រូវការជាចាំបាច់រួមមាន៖
- ថ្នាំទប់សកម្មភាព angiotensin (ACE inhibitor) ដូចជា Lisinopril
- ថ្នាំទប់សកម្មភាពរបស់ beta (beta blocker) ដូចជា Metoprolol ប៉ុន្តែកំរិតថ្នាំទាបបំផុតគួរតែត្រូវបានប្រើប្រាស់ និងមិនត្រូវប្រើចំពោះជំងឺខ្សោយបេះដូងធ្ងន់ធ្ងរ ឬស្រួចស្រាយឡើយ។
- ថ្នាំប្រើតាមមាត់ Hydralazine ប្រើប្រាស់ជាមួយ Isosorbide Dinitrate ប៉ុន្តែមិនគួរអោយប្រសិនបើអ្នកជំងឺមានសម្ពាធឈាមទាបទេ។
- Digoxin
ការផ្តល់អោយនូវថ្នាំសម្រាប់ជួយក្នុងការកន្រ្តាក់បេះដូង (inotrope) ដូចជា Dopamine អាចនឹងត្រូវបានប្រើប្រាស់សម្រាប់អ្នកជំងឺដែលមានសម្ពាធឈាមទាប ឬសម្រាប់អ្នកជំងឺដែលមានជំងឺហើមសួតរួមជាមួយថ្នាំដែលបានប្រើប្រាស់ខាងលើ។
ការគ្រប់គ្រងកម្រិតខ្ពស់
ការព្យាបាលដោយប្រើថ្នាំសម្រាប់ពង្រីកសរសៃឈាម ដើម្បីបន្ថយសម្ពាធហើយក៏អាចជួយអោយបេះដូងច្របាច់ឈាមកាន់តែមានប្រសិទ្ធភាព។ ការព្យាបាលដោយប្រើថ្នាំពង្រីកសរសៃឈាមត្រូវបានចាក់បញ្ចូលតាមសរសៃ (លាយជាមួយសេរ៉ូមរួចព្យូរ) និងកំណត់ចំនួនទៅតាមការឆ្លើយតបរបស់ជំងឺ និងសម្ពាធឈាម។ ឧទាហរណ៍នៃការអោយថ្នាំតាមសរសៃដោយលាយជាមួយសេរ៉ូមដែលគេប្រើជាញឹកញាប់គឺ Nitroglycerin រឺ Nitroprusside។
Dobutamine គឺជាថ្នាំដែលជួយក្នុងការកន្រ្តាក់របស់បេះដូង (inotrope) យ៉ាងមានប្រសិទ្ធភាពហើយត្រូវបានប្រើប្រាស់នៅក្នុងជំងឺខ្សោយបេះដូង ដោយវាជួយបង្កើននូវកម្លាំងកន្រ្តាក់របស់បេះដូង និងបង្កើននូវចំនួនឈាមដែលច្របាច់ចេញពីបេះដូង ហើយវាទំនងជាមិនបង្កអោយលើសសម្ពាធឈាមទេ បើប្រៀបធៀបជាមួយថ្នាំ Dopamine។ ជាងនេះទៅទៀត ថ្នាំ Dobutamine បង្កអោយមានការពង្រីកសរសៃឈាមផងដែរ ដែលជាប្រយោជន៍ល្អសម្រាប់ជំងឺខ្សោយបេះដូង។
